Paid post

I miti più diffusi sui denti

I denti si spostano solo in giovane età, il chewing gum sostituisce lo spazzolino e una correzione dentale costa sempre una fortuna – è ora di sfatare i 5 miti più comuni sui denti!

1. I denti si spostano solo in giovane età.

Falso! I denti si possono spostare a qualsiasi età. Infatti, non è raro che i denti si spostino soprattutto in età adulta, causando disallineamenti dentali. I denti anteriori sono solitamente quelli più colpiti. Tuttavia, oggi è possibile correggere i denti disallineati anche in età adulta e in tutta discrezione. Con gli apparecchi trasparenti, i cosiddetti aligner, è possibile farlo in 3-12 mesi.

bestsmile Aligner è disponibile già a partire da CHF 80.–/mese.

2. Il chewing gum sostituisce lo spazzolino

Falso! In nessun caso si dovrebbe sostituire lo spazzolino con il chewing gum. Quest’ultimo dovrebbe piuttosto essere considerato un coadiuvante, cioè un aiuto supplementare. Masticare il chewing gum, e quindi la conseguente stimolazione della saliva, può neutralizzare gli acidi nocivi. Naturalmente, affinché ciò funzioni, il chewing gum non deve contenere zuccheri.

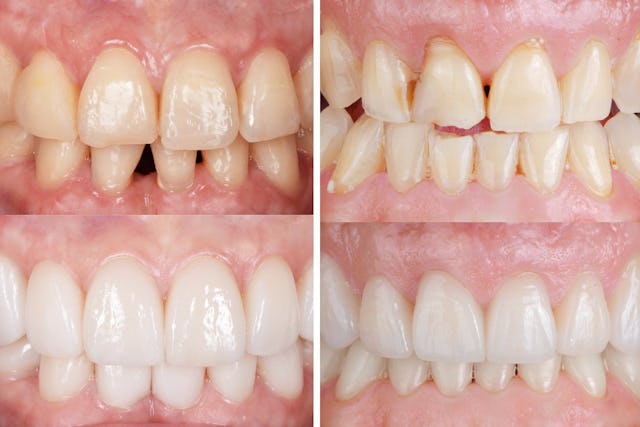
3. Le veneers (faccette) in ceramica, non hanno un aspetto naturale

Falso! Grazie alle tecnologie all’avanguardia, le veneers in ceramica ultrasottili vengono prodotte in Svizzera esattamente in base alle tue preferenze e sono perfettamente adattate ai tuoi denti. In questo modo, i tuoi denti avranno un aspetto armonioso e naturale.

4. Lavarsi i denti subito dopo aver mangiato

Falso! Spazzolare i denti subito dopo aver mangiato alimenti acidi come la frutta può danneggiare lo smalto dei denti. Pertanto, è ideale aspettare almeno mezz’ora dopo aver mangiato prima di pulire i denti.

 

5. Una correzione dentale costa sempre una fortuna

Falso! La digitalizzazione dei processi e il controllo di tutta la catena del valore permettono di offrire correzioni dentali e trattamenti con veneers a prezzi accessibili. Grazie alla produzione in Svizzera, i più alti standard di qualità sono assicurati.

Presenti in tutta la Svizzera, anche vicino a te.
Ora anche a Bellinzona.

Paid post

Questo contenuto realizzato per conto di bestsmile, è pubblicità e non fa parte del contenuto redazionale.