Paid post

Cambiamenti incredibili in poco tempo!

Cosa sono le faccette dentali? Note anche per il cosiddetto “Hollywood smile”, ossia il sorriso delle star, consentono a chiunque di ottenere un sorriso da VIP. Ma quali difetti possono correggere?

Cosa sono le faccette dentali?

Le faccette, chiamate anche Veneers, sono involucri in ceramica ultrasottili che migliorano notevolmente l’estetica dei denti. Rimangono sempre bianche e si adattano perfettamente al tuo nuovo sorriso.

Anche tu vuoi abbellire il tuo sorriso come le star? Prenota un appuntamento online e lasciati consigliare.

I vantaggi delle Faccette bestsmile:

  • swiss made

  • Rate mensili da CHF 80.–/mese

  • Finanziamento dello 0%

  • 10 anni di garanzia

Esempi di difetti che possono essere corretti con le faccette dentali:

 

Denti scoloriti

I denti possono scolorirsi e diventare gialli a causa del fumo, troppo caffè oppure a causa del naturale processo di invecchiamento. Un vantaggio significativo delle faccette estetiche è che sono fatte in ceramica di altissima qualità e quindi non si scoloriscono: i denti rimangono sempre belli bianchi. Ecco alcuni esempi di clienti bestsmile:

1 / 3
2 / 3
3 / 3

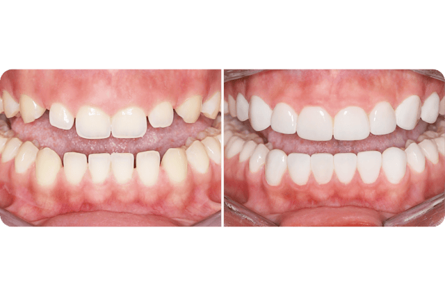
Superfici irregolari / denti usurati

Denti con una superficie irregolare sono molto comuni. Le irregolarità sono spesso causate da digrignamento, incidenti, oppure dall’usura dei denti.

1 / 4
2 / 4
3 / 4
4 / 4

Denti di grandezze diverse

Denti di grandezze diverse possono essere fastidiosi. Tuttavia, con le faccette estetiche possono essere corretti in modo rapido e semplice. Ecco altri esempi di clienti bestsmile:

1 / 3
2 / 3
3 / 3

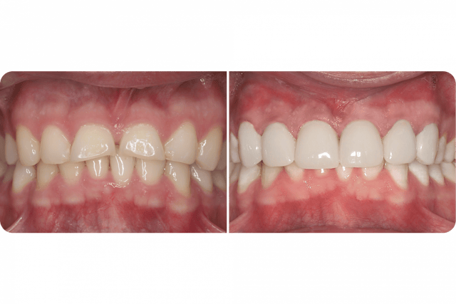
Altri esempi di trasformazioni incredibili

Con le faccette si possono correggere spazi tra i denti, un sorriso gengivale o altri difetti estetici in poche sedute. Ecco altri casi incredibili che sono stati trattati con le Faccette bestsmile:

1 / 4
2 / 4
3 / 4
4 / 4

Guarda, è semplicissimo:

  1. Prenota un appuntamento senza impegno online

  2. Consulenza e scansione 3D

  3. Spiegazione del piano di trattamento

  4. Inizio del trattamento

Trasforma anche tu il tuo sorriso grazie alle Veneers bestsmile.

Paid post

Questo contenuto è realizzato per conto di bestsmile, è pubblicità e non fa parte del contenuto redazionale.