Paid post

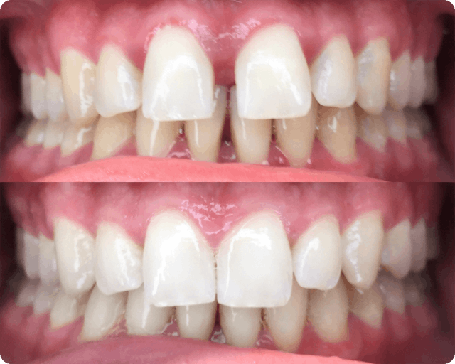
Hai uno spazio tra i denti?

Uno spazio tra i denti di solito salta subito all’occhio. Ciò che non è un problema per alcuni può essere molto fastidioso per altri. Oggi ci sono diversi metodi per chiudere uno spazio tra i denti.

Qual è la causa degli spazi tra i denti?

Uno spazio tra i denti è spesso causato da un frenulo labiale con un’attaccatura troppo bassa che impedisce agli incisivi di chiudersi completamente. Inoltre, un diastema può anche essere causato da una sproporzione tra la larghezza dei denti e delle arcate oppure dalla mancanza di denti.

Perché chiudere un diastema?

Per molte persone, uno spazio visibile tra gli incisivi centrali è antiestetico. Un diastema dovuto a denti mancanti o a spazi particolarmente pronunciati può avere diverse conseguenze negative sulla salute, come per esempio difetti di pronuncia.

Ma avere un diastema non è motivo di preoccupazione, poiché ci sono metodi discreti per correggerlo.

Correggi ora il tuo diastema

L’apparecchio trasparente è la soluzione ideale per correggere discretamente e in poco tempo un diastema. E l’apparecchio è indicato anche per correggere molte altre malposizioni dentali.

Gli Allineatori bestsmile sono disponibili già da 40 franchi al mese. E senza costi nascosti, interessi o commissioni!

Il primo appuntamento per la consulenza e la scansione è incluso nel trattamento. Cosa aspetti?

Chiudere un diastema con gli allineatori dentali

  • Ogni 2 settimane passi all’allineatore successivo

  • Ogni allineatore sposta i denti un passo alla volta nella posizione desiderata

  • Il diastema può essere chiuso in 3-12 mesi

bestsmile Teens Aligner

L’apparecchio trasparente è disponibile a partire dagli 11 anni. Prenota ora un appuntamento senza impegno e fatti consigliare da ortodontisti esperti.

Vantaggi del trattamento con l’apparecchio bestsmile Aligner

  • Può essere tolto in qualsiasi momento

  • Discreto e appena visibile

  • Risultati in poco tempo

Consulenza senza impegno

Prenota ora un appuntamento online e fatti consigliare. I nostri dentisti, specializzati in allineatori dentali, eseguono una scansione 3D dei tuoi denti e valutano se il trattamento è indicato per te. Il tutto senza impegno.

Paid post

Questo contenuto è realizzato per conto di bestsmile, è pubblicità e non fa parte del contenuto redazionale.